?????????? ?? ?? ?? ????????? ??? ???? ? ? ??. ??? ? ???? ??? ??? ??? ???? ??? ??? ??? ?? ?? ???? ???.
????????? ?? ??? 20? ‘??(白肺)’ ???? 20?? ?? ?? ??(??)?? ?? ? ?????????? ????? ??? ??? ? ?? ??? ??? ???? ??? ??? ??. ??? ????? ???? ?? ?? ??? ????3??? ?? ???.
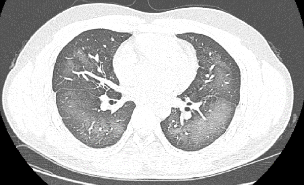
??? ?? ? CT ???? ??? ?? ?? ???? ?? ??? ??? ???? ‘??’?? ?????.
‘??’? ????? X? ?? CT ???? ?? ??? ??? ???? ??? ?? ?? ????, ???? ? ?? ??????? ???? ???? ?? ??? ???.
?????????? ??? ??? ? ?? ?????????? ?? ? ??? ?? ?? ???? ?? ‘??’? ?? ?? ?? ??? ??, ???? ?? ?? ????? ???? ?? ???? ?? ??? ??? ? ??? ???.
? ?? ??? ???? ???? ??????? ??? ?? ????? ‘??’? ????. ????? ????, ????, ??? ? ?? ??? ? ? ??? ??? ?? ?????.
???? ?????????? ??? ??? ??? ??? ?? ?????? ??? ????? ?? ?? ??? ?? ?? ?? ??? ???? ??? ???? ??.